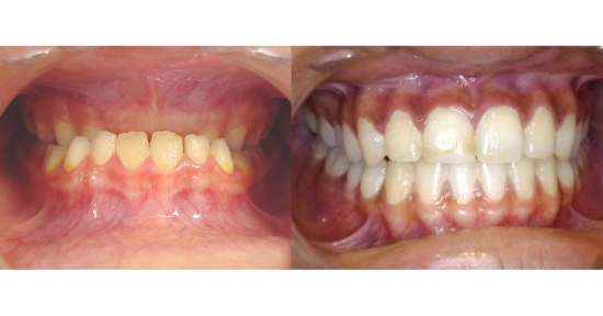
Utilisation d'un dispositif d'ancrage osseux palatin "sur-mesure"
Amélioration du Bi-tribod Anchor Plate pour une implantation plus stable tout en gardant ses avantages mécaniques.
Travail réalisé en collaboration avec Dr. Imen Bouallegue et Dr. Gérard Altounian
