Résumé
Description
Prise en charge systémique
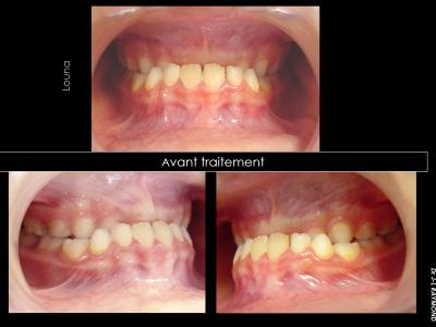
Les classes III par brachymaxillie (les plus fréquentes) sont associées à une bascule du plan d'occlusion maxillaire vers le haut et vers l'avant, identifiable à l'examen de la cinématique mandibulaire : les mouvements sont propulsifs en latéralité.
Leurs prises en charge en orthodontie systémique doivent corriger cette anomalie verticale en retrouvant une cinématique mandibulaire frontale.
La GOS est un auxilliaire de l'orthodontie systémique spécifique des classes III.
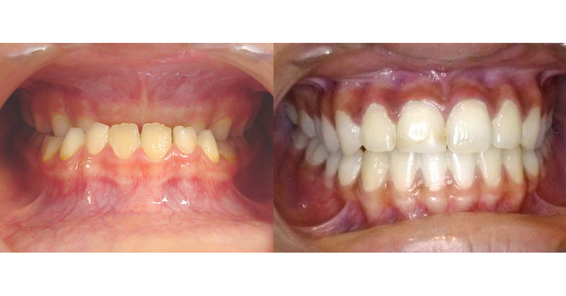
Traitement
Ce traitement a duré 9 mois avec :
- Gouttière Orthopédique Systémique (anciennement Gouttière Orthopédique de Disjonction), constituée de 2 plans en résine scellés au CVI sur les dents latérales, et laissant une infraclusie postérieure permettant l'égression des molaires mandibulaire et la bascule du plan occlusal. Cette GOS possède au niveau palatin un disjoncteur pour réaliser une disjonction maxillaire rapide.
Cette gouttière est progressivement meulée, d'abord en postérieur puis en antérieur afin d'accompagner la bascule du plan occlusal. La GOS sert ainsi de guide à l'installation de la nouvelle cinématique mandibulaire : frontale et symétrique.
- Masque facial (Chronomask) avec port 13h/jour avec élastiques 3/8 14 oz. La traction est orientée vers le bas et vers l'avant.
Conclusion
L'intérêt de ce cas clinique réside dans la durée du suivi post traitement : plus de 10 ans. Une prise en charge précoce (avant l'éruption des deuxième molaires) avec une correction tridimensionnelle : disjonction, réorientation du plan d'occlusion et avancée maxillaire permet d'obtenir une cinématique mandibulaire vertueuse pour la suite de la croissance, et donc une classe I ... stable dans le temps !

commentaires membres
écrire un commentaire