Résumé
Description
Introduction :
La position et l’axe des incisives et canines mandibulaires sont souvent considérés comme un point clé de la réussite et de la stabilité des traitements orthodontiques. De manière assez dogmatique, l'orthodontiste essaye de respecter la distance inter-canine ou d’obtenir un angle incisive mandibulaire / plan mandibulaire prétendu idéal. Ces notions sont bien évidement souvent sujettes à discussion, mais malheureusement assez rarement en les abordant sur leur versant fonctionnel, et en isolant trop facilement les dents de leur parodonte.
La région incisivo-canine mandibulaire est en effet une clé de voute au sens mécanique du terme. Comme une voute en architecture, cette zone concentre d’importantes contraintes centripètes. Il s’agit des forces occlusales avec les incisives et canines maxillaires en incision et en entrée et sortie de cycle masticatoire, ainsi que des forces musculaires vestibulaires des muscles labio-mentonniers. A l‘opposé, la langue n’y exerce dans des conditions normales que peu d’action centrifuge. Il s’agit donc d’un système mécanique fragile dans lequel la notion d’équilibre est primordiale.
On y retrouve en effet des dents de petite taille, un os alvéolaire souvent fin et une hauteur de gencive attachée fréquemment réduite. En cas de déséquilibre, ces éléments peuvent s’y retrouver pris en étau, créant altérations dentaires ou parodontales remettant en cause la réussite ou la stabilité des traitements.
Cette situation de déséquilibre est malheureusement fréquente. Il convient alors de pouvoir évaluer tous les éléments en jeu pour être en mesure de proposer un traitement étiologique à nos patients.
-
Vers une théorie de l’équilibre
1.1 Anatomie de la région incisivo-canine mandibulaire
Elle comprend trois complexes :
- Un complexe dentaire comprenant les incisives et canines. Leur position idéale est celle qui permet une occlusion fonctionnelle, avec une inclinaison transmettant les forces occlusales de manière homogène à leurs tissus de soutien, et un centrage dans l’os de la symphyse.
L’organisation du complexe dentaire est naturellement adaptative aux contraintes et est stable dans la zone d’équilibre dite du « couloir de Château »2.
- Un complexe musculaire labio-mentonnier (figure 1) comprenant essentiellement :
-
- Le muscle buccinateur, muscle paire dont la terminaison antérieure au niveau de la commissure labiale permet d’étirer l’orifice buccal
- Le muscle orbiculaire des lèvres, muscle médian s’étendant d’une commissure à l’autre et permettant l’occlusion de la bouche
- Le muscle mentonnier, muscle paire étendu d’une fossette de la symphyse mentonnière à la peau du menton, il permet d’élever les parties molles du menton
- Le ligament mentonnier, médian, interposé entre les deux muscles mentonnier, inséré sur la symphyse mentonnière et la peau de la région mentonnière, il crée la fossette du menton
- Le muscle abaisseur de la lèvre inférieure, muscle paire étendu de la partie antérieure de la ligne oblique de la mandibule à la lèvre inférieure
- Le muscle abaisseur de l’angle de la bouche, muscle paire étendu de la partie antérieure de la ligne oblique de la mandibule à la commissure labiale
Ce complexe musculaire comprend un tonus constant, et une activité en fonction (manducation, déglutition, ventilation, élocution, mimique) qui peut être modifiée par la présence de dysfonctions ou de parafonctions.
- Un complexe parodontal : cément, ligament alvéolo-dentaire, os alvéolaire, et gencive. Ces éléments assurent le soutien et la protection du complexe dentaire, mais se retrouvent aussi pris en étau à l’interface entre le complexe dentaire et le complexe musculaire.
La position du complexe parodontal est dépendante de la position du complexe dentaire, et sa typologie (biotype parodontal) est définie par la classification de Maynard et Wilson4.
1.2 Biomécanique de la région incisivo-canine mandibulaire
Plusieurs forces agissent sur cette région :
- Les forces musculaires (Fm) du complexe labio-mentonnier. Elles sont essentiellement centripètes et s’étendent comme les insertions musculaires de la canine à la canine.
- Les forces occlusales (Fo) avec les incisives et canines maxillaires. Egalement centripètes, elles sont en plus d’être verticales, sagittales en incision, et plus transversales en mastication
Elles rencontrent deux résistances :
- La résistance mécanique du complexe dentaire (Rd), ou sa capacité à résister au déplacement
- La résistance mécanique du parodonte (Rp), dépendante du biotype parodontal
Ce système mécanique forme une arche dans laquelle les dents sont l’armature, le parodonte le liant et les forces musculaires et occlusales la charge mécanique à soutenir. Ce système est donc comparable à celui d’une arche en architecture (figure 2a et b).
Situations mécaniques possibles :
- Rd ≥ (Fm + Fo) et Rp ≥ (Fm + Fo) : situation d’équilibre
- Rp ≥ (Fm + Fo) > Rd : déséquilibre mécanique avec conséquences dentaires
- Rd ≥ (Fm + Fo) > Rp : déséquilibre mécanique avec conséquences parodontales
- (Fm + Fo) > Rd et (Fm + Fo) > Rp : déséquilibre mécanique avec conséquences dentaires et parodontales
1.3 Signes de déséquilibre mécanique de la région incisivo-canine mandibulaire :
Signes entrainant un excès de force musculaire (Fm) :
- Crispation mentonnière afin de retrouver une compétence labiale
- Crispation labio-mentonnière à la déglutition
- Muscle mentonnier haut-inséré faisant remonter le fond du vestibule à la traction de la lèvre (figure 3)
- Sillon labio-mentonnier marqué avec ligament mentonnier opposant une résistance importante à la traction (figure 4a et 4b)
Signes entrainant un excès de force occlusale (Fo) :
- Supraclusie créant un verrouillage mandibulaire avec interférences antérieures lors de la mastication
- Signes de bruxisme
Signes de défaut de résistance dentaire (Rd) :
- Encombrement incisivo-canin marqué si défaut de résistance coronaire
- Proalvéolie incisive mandibulaire si défaut de résistance radiculaire
- Rétroalvéolie mandibulaire globale avec progénie (l’os symphysaire basal reste bien positionné) si défaut global (figure 4c)
Signes de défaut de résistance parodontale (Rp) :
- Parodonte fin avec hauteur de gencive attachée réduite voire récessions (figure 4d)
- Relief des racines des incisives visible sous la muqueuse libre
- Finesse, fenestration voire absence d’os en vestibulaire des incisives (sur téléradiographie de profil ou CBCT) (figure 5a et 5b)
Ces signes cliniques et radiographiques seront activement recherchés lors de la phase de diagnostic. De cette phase découleront nos objectifs de traitement et notre plan de traitement. C’est la présence simultanée de signes d’excès de force et de défaut de résistance qui peut nous mettre sur la piste d’un déséquilibre fonctionnel de cette région. L’accumulation et la diversité de ces signes indiquera la sévérité du déséquilibre.
Remarque : il existe des cas particuliers dans lesquels la langue peut aussi venir perturber l’équilibre de cette région :
- Déglutition primaire avec langue très basse : la langue va alors appuyer sur la face linguale des incisives mandibulaires alors qu’une contraction simultanée et dysfonctionnelle des muscles mentonniers va créer une pression centripète à hauteur de la racine de ces dents. Il y a alors création d’un couple de force vestibulant les incisives mandibulaires.
- Ankyloglossie ou macroglossie : la langue va également créer une force centrifuge
1.4 Modulation thérapeutique de la biomécanique de la région incisivo-canine mandibulaire
Les traitements orthodontiques vont pouvoir agir sur certains éléments mécaniques de cette région :
- Diminution de la force occlusale Fo : l’ingression incisive ou la réorientation tridimensionnelle du plan occlusal permet de diminuer ou supprimer les interférences occlusales en incision et en mastication, ainsi que diminuer les parafonctions
- Renforcement de la résistance dentaire Rd : l’alignement dentaire avec une forme d’arcade adaptée, le meulage amélaire inter-proximal (stripping) créant des surfaces de contact interdentaires ou la mise en place de contentions orthodontiques fixes ou amovibles renforcent la résistance du complexe dentaire face aux contraintes mécaniques
Mais il est malheureusement orthodontiquement difficile d’agir sur la force musculaire Fm et la résistance parodontale Rp.
Si nous augmentons la résistance dentaire Rd par notre traitement (par exemple d’alignement) sans considérer la force musculaire Fm, c’est le parodonte qui peut être pris en étau, voir sa résistance Rp diminuer et risquer des altérations irréversibles à court, moyen et long terme.
La kinésithérapie et les rééducations peuvent être intéressantes pour diminuer la force musculaire Fm, mais elles seront insuffisantes face à un excès de force sévère et/ou une résistance parodontale Rp déjà diminuée. Une prise en charge chirurgicale est alors indiquée.
-
Rééquilibration chirurgicale chez l’enfant et le jeune adolescent
Nous pratiquons à cet âge un affaiblissement labio-mentonnier avec approfondissement vestibulaire. La technique chirurgicale que nous utilisons est une adaptation des techniques proposées par Waroquy LA et coll.7 et Behdet N et coll.1.
2.1 Technique chirurgicale
-
Décontamination intra- et exo-buccale
- Anesthésie locale au fond du vestibule
- Incision épithéliale arciforme dans la muqueuse labiale inférieure de 34 à 44 (figure 6a)
- Dissection en épaisseur partielle de l’épithélium du fond du vestibule en remontant jusqu’à la ligne muco-gingivale (figure 6b). Au niveau de celle-ci, l’incision sera poursuivie en profondeur jusqu’au contact osseux.
- L’attache musculaire est ruginée sur toute la hauteur de la symphyse mentonnière (figure 6c)
- L’insertion du ligament mentonnier est réséquée au bistouri (figure 6d)
- Le lambeau en épaisseur partielle est suturé au fond du vestibule au périoste avec des fils résorbables afin d’éviter une réattache des insertions musculaires (figures 6e et 6f).
- Le versant interne de la lèvre et le fond du vestibule présentent une cicatrisation de deuxième intention (figures 6g et 6h)
2.2 Résultats (figures 7, 8, 9 et 10)
Sur le plan parodontal :
Cette technique permet à court terme d’aboutir à une muqueuse cicatricielle fixée au périoste et ainsi d’augmenter la hauteur de la gencive attachée. Une hauteur de gencive attachée suffisante permet de prévenir les récessions et une inflammation de la marge gingivale en cas de difficultés à l’hygiène buccale. A moyen terme, nous observons aussi une apposition osseuse alvéolaire vestibulaire sur les téléradiographies de profil avec une avancée du point B. Il y a donc amélioration de la résistance parodontale Rp au niveau gingival et au niveau alvéolaire.
Sur le plan musculaire :
La désinsertion musculaire et la résection du ligament mentonnier augmentent la souplesse de la lèvre inférieure, diminuent les contractions musculaires dans les cas de menton « en peau d’orange » et adoucissent le sillons labio-mentonnier s’il est trop marqué. Il y a donc diminution de la force musculaire Fm. Mais nous n’observons pas d’affaissement du menton ou de la lèvre inférieure à l’opposé de l’action élévatrice du muscle mentonnier.
Sur le plan orthodontique :
Pratiquée en interception, en début de traitement ou en cours de traitement orthodontique, cette technique permet grâce à la diminution des contraintes musculaires centripètes un repositionnement antérieur spontané de la racine des incisives dans la symphyse. Les proalvéolies mandibulaires se corrigent d’environ 10° en 6 à 12 mois. Nous observons aussi une libération de la croissance mandibulaire avec un début de correction spontanée des rétromandibulies.
-
Discussion
Le diagnostic est une étape primordiale dans toute prise en charge médicale. La qualité de cette phase déterminera ici encore la réussite du traitement. Il ne s’agit pas de vouloir traiter chirurgicalement tout encombrement incisif mandibulaire, mais il est important de savoir déceler quand cet encombrement est lié à un déséquilibre, ou quand le traitement classique de l’encombrement risquera d’en créer un ! La diminution actuelle du recours aux avulsions de prémolaire est louable en soi, mais elle ne doit pas se faire au détriment du parodonte qui peut être altéré de manière irréversible si une expansion déséquilibrée est entreprise.
Etonnamment, les équilibres fonctionnels de la région incisivo-canine mandibulaire ont très peu été étudiés. Hormis Waroquy7 et Bedhet1, aucun auteur ne s’est intéressé à cette zone sur son versant fonctionnel orthodontique et parodontal alors que beaucoup plus de publications sont retrouvées concernant les conséquences locales musculaires et parodontales des prélèvements symphysaires en implantologie…
La théorie de l’équilibre que nous avons essayé d’introduire ici n’est sans doute pour le moment pas encore exhaustive, mais elle reflète nos observations cliniques quotidiennes.
La différence entre les deux prises en charge que nous proposons est basée sur le fait que les enfants et jeunes adolescents sont en croissance. Les altérations dentaires ou parodontales rencontrées à ces âges sont encore souvent réversibles. La chirurgie d’affaiblissement mentonnier avec approfondissement vestibulaire pratiquée en interception le démontre : une évolution spontanée favorable est ensuite constamment observée. Cette chirurgie est relativement simple et rapide. Elle est possible dès que l’enfant est suffisamment coopérant. Elle dure environ 20 minutes et les suites opératoires sont très faibles et très bien tolérées. Nos résultats cliniques confirment ceux de l’étude de Waroquy7 qui montrait un gain de gencive attaché de 3 à 4 mm dans 100% des cas et une apposition au point B dans 60% des cas.
Chez l’adulte avec un os mature et la croissance terminée, une prise en charge osseuse nous semble nécessaire. Nous utilisons alors une technique de corticotomies avec greffe dérivée de celle des frère Wilcko5,9 mais moins invasive.
Bibliographie :
- Bedhet N, Manière-Ezvan A, Delamaire M, Jan P, Behaghel M. Dysfonctionnement des muscles labio-mentonniers et indications de la chirurgie d’affaiblissement. Orthod Fr 2001 ; 72, 317-330
- Château M. Orthopédie dento-faciale, Tome 1 : Bases Scientifiques : Croissance-Embryologie-Histologie-Occlusion-Physiologie, Editions Cahiers de Prothèse, 1957, réédition 1993
- Frost H.M. The biology of fracture healing. An overview for clinician. Part 1, Clin Orthop Res; 1989, 248:294-309.
- Maynard JG, Wilson RD. Diagnosis and management of mucogingivals problems in children. Dent Clin North AM. 1980; 24, 683-703
- Murphy KG, Wilcko MT, Wilcko WM, Ferguson DJ. Periodontal accelerated osteogenic orthodontics : a description of the surgical technique. J Oral Maxillofac Surg 2009 ; 67(10) :2160-6
- Sebaoun JD, Surmenian J, Diebart S. Traitements orthodontiques accélérés par piézocision : une alternative mini-invasive aux corticotomies alvéolaires. Orthod Fr 2011 ; 82 :311-319.
- Waroquy LA, Lecop LR, Rompen EH. Pre-radicular muscular desinsertion in the inferior incisor area : contribution in orthodontic treatment. Rev Orthop Dento Faciale 2002; 36, 104-113
- Wilcko MT, Wilcko WM, Bissada NF. An evidence-based analysis of periodontaly accelerated orthodontic and osteogenic techniques; A synthesis of scientific perspectives. Semin. Othod.2008, 14:305-316.
- Wilcko WM, Wilcko MT, Bouquot JE, Ferguson DJ. Rapid Orthodontics with alveolar reshaping : two case reports of decrowding. Int J Periodontics Restorative Dent 2001,21 :9-19.
Légendes
Figure 1 : anatomie du complexe musculaire labio-mentonnier
Figure 2 : similitude mécanique entre une arche (a) et la région incisivo-canine mandibulaire (b)
Figure 3 : muscle mentonnier haut-inséré faisant remonter le fond du vestibule à la traction de la lèvre
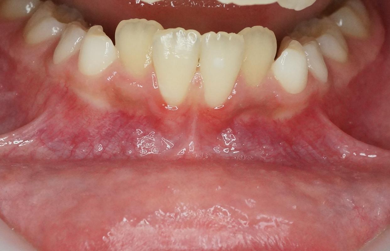
Figure 4 : patiente de 9 ans présentant un déséquilibre mécanique de la région incisivo-canine mandibulaire se traduisant par un sillon labio-mentonnier marqué (a) avec empreinte cutanée (b), une rétroalvéolie mandibulaire globale (c) et un parodonte affaibli avec profondeur vestibulaire réduite (d).
Figure 5 : patiente de 38 ans présentant un déséquilibre mécanique de la région incisivo-canine mandibulaire se traduisant par un encombrement incisivo-canin sévère par rétroalvéolie et égression incisive (a), un parodonte fin et une muqueuse libre suivant le relief des racines des incisives (b), et une absence d’os alvéolaire vestibulaire au CBCT (c, d et e).
Figure 6 : technique chirurgicale d’affaiblissement labio-mentonnier avec approfondissement vestibulaire :
Incision épithéliale arciforme (a),
dissection du lambeau supérieur en épaisseur partielle (b),
désinsertion musculaire mettant la surface osseuse à nu (c),
résection du ligament mentonnier médian (d),
suture du lambeau muqueux en épaisseur partielle à la partie inférieure des fibres de l’orbiculaire par points séparés(e,f),
cicatrisation de seconde intention à 1 semaine (g), à 2 semaines (h).
Figure 7 : interception d’une proalvéolie mandibulaire avec fenestration gingivale à 10 ans par affaiblissement labio-mentonnier.
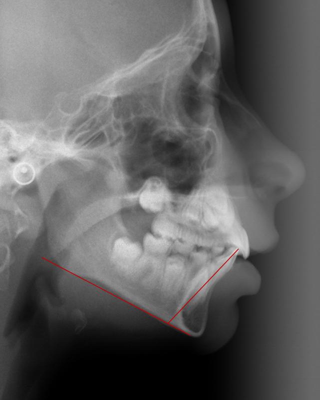
Vues endo-buccales (a, b, c) et téléradiographie de profil initiales avec IMPA=105° (d);
vue endo-buccales (e, f, g) et téléradiographie de profil (h) à 1 an post-opératoire (sans traitement orthodontique) montrant un redressement spontané des incisives mandibulaires avec IMPA=94° et une avancée du point B ;
superposition avec le logiciel Procuste (Rouge = Avant / Bleu = Après) montrant le repositionnement incisif et la croissance mandibulaire (i) ;
vue endo-buccales (j, k, l) et téléradiographie de profil (m) à 4 ans post-opératoires, avec traitement orthodontique multi-attaches et 1 an de contention, l’IMPA est resté stable à 94°.
Figure 8 : prise en charge d’une rétroalvéolie et rétrochéilie mandibulaire à 13 ans par affaiblissement labio-mentonnier et traitement orthodontique
Profil avant traitement (a),
profil après 2 ans de traitement et 1 an de contention, montrant l’avancée labiale et la diminution de la progénie (b)
Figure 9 : prise en charge d’une proalvéolie mandibulaire à 12 ans par affaiblissement labio-mentonnier 3 mois avant traitement orthodontique.
Téléradiographie de profil initiale, IMPA = 108° (a),
à 11 mois post-opératoires avec 8 mois de nivellement sur arc rond, les incisives mandibulaires se redressent spontanément de 11° (IMPA = 97°) et la concavité de la symphyse diminue significativement (b),
superposition avec le logiciel Procuste (Rouge = Avant / Bleu = Après) (c).
Figure 10 : prise en charge d’une rétromandibulie avec proalvéolie incisive mandibulaire par affaiblissement labio-mentonnier à 12 ans en cours de traitement orthodontique
Téléradiographie de profil avant traitement (a),
téléradiographie de profil de réévaluation à 12 mois de traitement multi-attaches montrant l’aggravation de la proalvéolie mandibulaire avec IMPA=110° (b), l’affaiblissement labio-mentonnier est décidé à ce moment,
téléradiographie de profil en fin de traitement après 9 mois de finitions sur multi-attaches et 1 an de contention, l’IMPA est réduit à 100° et le muscle mentonnier s’est relâché (c),
superposition avec le logiciel Procuste (Rouge = Avant / Bleu = Après) montrant le redressement radiculaire des incisives mandibulaires et la croissance mandibulaire (d)
parodonte en fin de traitement (e).

commentaires membres
écrire un commentaire