Résumé
Description
Suite à l'essai du Bi-tribod Anchor Plate coréen pour une distalisation maxillaire il est apparu que malgré sa mécanique séduisante, son implantation assez postérieure est moins stable qu'en antérieur, et est de plus source d'inflammation.
Nous avons donc voulu améliorer ce dispositif en réalisant pour un autre patient un dispositif "sur-mesure".
Voici notre retour d'utilisation après 3 mois.
Avantage:
- Implantation dans la zone palatine en T décrite par Wilmes, zone de grande stabilité avec peu de perte de vis (dans la littérature)
- Ancrage total qui permet de faire des avulsions des 5 au lieu des 4 en technique linguale
- Crochets sur les barres permettent d'appliquer des forces asymétriques si besoin
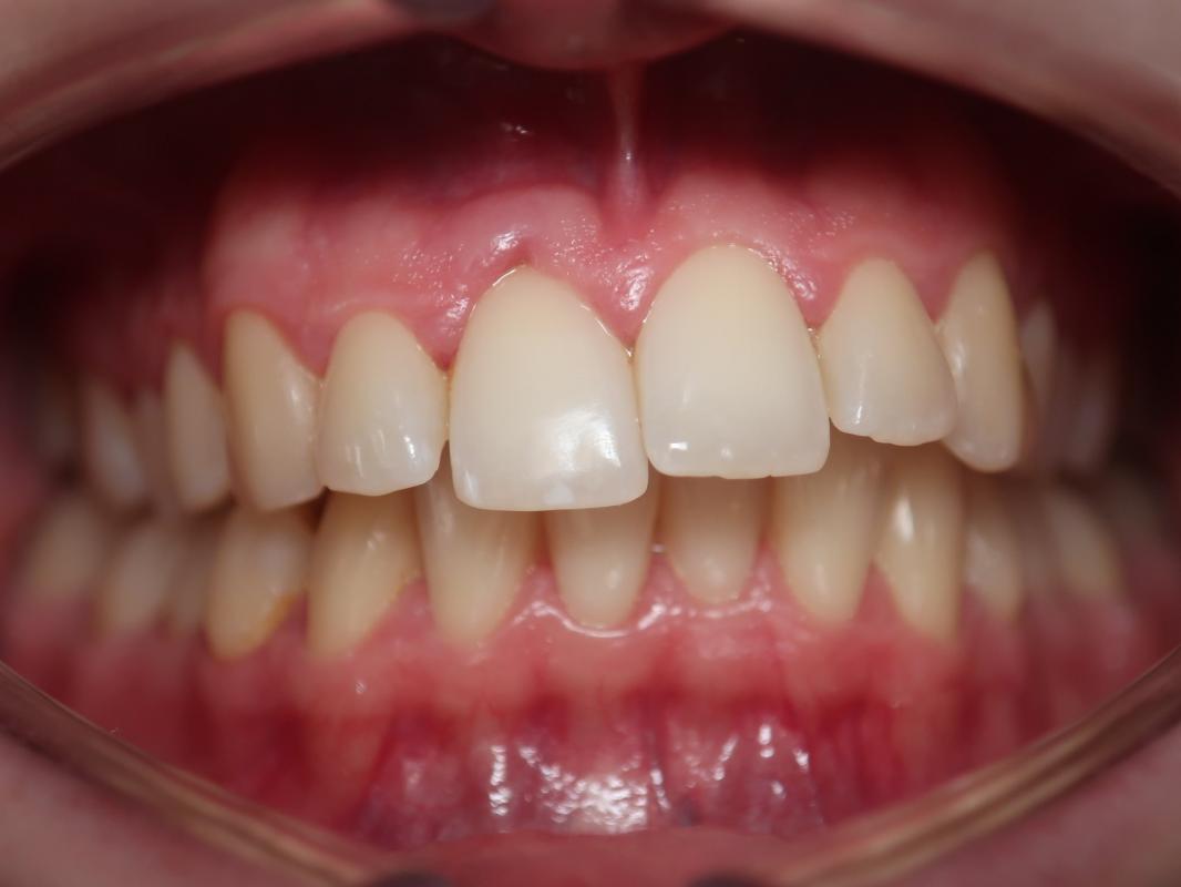
- Bien toléré par le patient
- Invisible
- Pas d'effet parasite sur les 16 et 26 (contrairement aux autres techniques comme le Benslider) car aucun appui molaire
Inconvénients
- Etape de la labo
- Bien toléré mais reste plus gros que une vis en vestibulaire et une en palatin
- Fermer après avoir remis un arc continu suite à l'avulsion des prémolaires

commentaires membres
écrire un commentaire