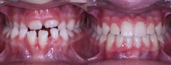
Système CT8 - Ancrage osseux universel : Principes généraux
Les premiers ancrages sous-muqueux du Dr. Daniel Chillès datent de 1991, et le fruit de ses premiers travaux sur le sujet ont fait l’objet d’une conférence lors du Congrès de la Fédération Mondiale d’Orthodontie (WFO) à Paris en 2005.
Le « Système CT8® » représente aujourd’hui l’aboutissement de
