Résumé
Description
Deux praticiens : Dr. Julien Arnal et Dr. Philippe Tuil
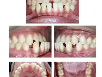
Deux patients similaires et un Tip bien utile
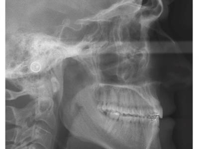
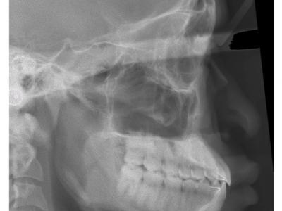
Les deux patients sont classe III squelettique (léger) avec un articulé inversé antérieur, mais avec des rapports de classe I molaire et des diastèmes.
Des dispositifs multi-attaches linguaux ont été choisis pour des raisons esthétiques et pour avoir des torques individualisés.
La principale astuce a été de placer des mini-vis vestibulaires (impossibles en lingual à cause de l'inconfort et de la perte de celles-ci avec les contraintes linguales), de tendre une chaînette entre ces mini-vis en vestibulaire et de bloquer l'élément élastomérique par un point de composite sur les incisives centrales inférieures. L'intérêt est de ne pas avoir recours à des élastiques inter-arcades et donc de ne pas compenser le haut (version inesthétique des incisives supérieures), de ne pas basculer les plans d'occlusion et de ne pas solliciter la coopération des patients. Ceci nous a aussi dispensé de chaînettes linguales, sources d'accumulation bactérienne.
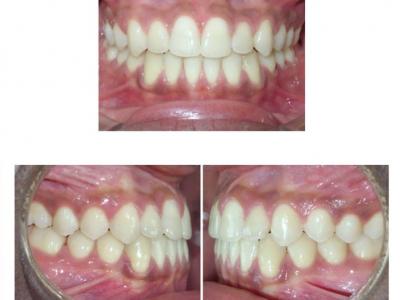
Le recul des incisives inférieures a permis la correction de l'articulé inversé et repositionné les lèvres (gain esthétique). Les torques ont été bien contrôlés avec des systèmes différents (le premier avec une insertion verticale de l'arc au niveau antérieur et le deuxième avec une insertion horizontale). Le contrôle du torque ne dépend donc pas du type d'insertion, mais du niveau d'insertion de l'arc dans les attaches (insertion au fond pour contrôler) et du jeu de l'arc dans ces dernières.
Dans le premier cas, une autre astuce a été de ne pas coller les attaches en lingual sur les 7 et de placer des sectionnels en vestibulaire sur les 6 et les 7 (gorges 022x028). L'intérêt est de ne pas avoir un arc en lingual dépassant lors du recul (et donc blessant), et d'augmenter le glissement au niveau des molaires en utilisant des gorges plus larges.
Dans le deuxième cas, une autre astuce a été de placer des cales indentées sur les molaires pour ouvrir l'occlusion (et donc permettre le passage des incisives inférieures derrières les supérieures), tout en gardant des rapports de classe I latéraux grâce aux indentations (renfort d'ancrage).
Les petits TIPS rendent plus sympathiques la progression de nos traitements !

commentaires membres
écrire un commentaire