Résumé
Description
Cet article fait suite à celui du 9 décembre 2020 afin de détailler en vidéo la technique chirurgicale.
L'intervention ici filmée a duré exactement 16 min. Un accéléré à 150% sur la partie dissection et à 300% sur la partie sutures a été appliqué afin de permettre une visualisation plus facile.
Rappels cliniques
L'affaiblissement labio-mentonnier chirurgical est indiqué chez l'enfant et l'adolescent en cas de déséquilibre mécanique de la région incisivo-canine mandibulaire.
C’est la présence simultanée de signes d’excès de force et de défaut de résistance qui peut nous mettre sur la piste d’un déséquilibre fonctionnel de cette région. L’accumulation et la diversité de ces signes indiquera la sévérité du déséquilibre.
Signes cliniques d'un excès de force musculaire :
- Crispation mentonnière afin de retrouver une compétence labiale
- Crispation labio-mentonnière à la déglutition
- Muscle mentonnier haut-inséré faisant remonter le fond du vestibule à la traction de la lèvre
- Sillon labio-mentonnier marqué avec ligament mentonnier opposant une résistance importante à la traction
Signes cliniques d'un défaut de résistance dentaire :
- Encombrement incisivo-canin marqué si défaut de résistance coronaire
- Proalvéolie incisive mandibulaire si défaut de résistance radiculaire
- Rétroalvéolie mandibulaire globale avec progénie (l’os symphysaire basal reste bien positionné) si défaut global
Signes cliniques d'un défaut de résistance parodontale :
- Parodonte fin avec hauteur de gencive attachée réduite voire récessions
- Relief des racines des incisives visible sous la muqueuse libre
- Finesse, fenestration voire absence d’os en vestibulaire des incisives (sur téléradiographie de profil ou CBCT)
Technique chirurgicale
- Décontamination intra- et exo-buccale
- Anesthésie locale au fond du vestibule
- Incision épithéliale arciforme dans la muqueuse labiale inférieure de 34 à 44
- Dissection en épaisseur partielle de l’épithélium du fond du vestibule en remontant jusqu’à la ligne muco-gingivale. Au niveau de celle-ci, l’incision sera poursuivie en profondeur jusqu’au contact osseux.
- L’attache musculaire est ruginée sur toute la hauteur de la symphyse mentonnière
- L’insertion du ligament mentonnier est réséquée au bistouri
- Le lambeau en épaisseur partielle est suturé au fond du vestibule au périoste avec des fils résorbables afin d’éviter une réattache des insertions musculaires : suture continue en surjet + 3 points séparés de sécurité
- Le versant interne de la lèvre et le fond du vestibule présentent une cicatrisation de deuxième intention
Résultats
Sur le plan parodontal :
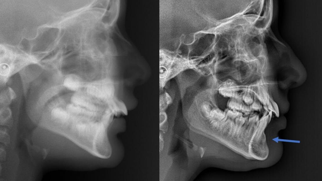
Cette technique permet à court terme d’aboutir à une muqueuse cicatricielle fixée au périoste et ainsi d’augmenter la hauteur de la gencive attachée. Une hauteur de gencive attachée suffisante permet de prévenir les récessions et une inflammation de la marge gingivale en cas de difficultés à l’hygiène buccale. A moyen terme, nous observons aussi une apposition osseuse alvéolaire vestibulaire sur les téléradiographies de profil avec une avancée du point B. Il y a donc amélioration de la résistance parodontale Rp au niveau gingival et au niveau alvéolaire.
Sur le plan musculaire :
La désinsertion musculaire et la résection du ligament mentonnier augmentent la souplesse de la lèvre inférieure, diminuent les contractions musculaires dans les cas de menton « en peau d’orange » et adoucissent le sillons labio-mentonnier s’il est trop marqué. Il y a donc diminution de la force musculaire Fm. Mais nous n’observons pas d’affaissement du menton ou de la lèvre inférieure à l’opposé de l’action élévatrice du muscle mentonnier.
Sur le plan orthodontique :
Pratiquée en interception, en début de traitement ou en cours de traitement orthodontique, cette technique permet grâce à la diminution des contraintes musculaires centripètes un repositionnement antérieur spontané de la racine des incisives dans la symphyse. Les proalvéolies mandibulaires se corrigent d’environ 10° en 6 à 12 mois. Nous observons aussi une libération de la croissance mandibulaire avec un début de correction spontanée des rétromandibulies.

commentaires membres
écrire un commentaire