Résumé
Description
Examen Clinique :
Les examens clinique et radiologique sont à la base de la réflexion pluridisciplinaire.
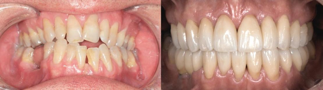
Sur le plan parodontal, le contrôle de plaque insuffisant et l’accumulation importante de tartre sur l’ensemble des dents maxillaires et mandibulaires entraînent une gingivite étendue. Des récessions importantes sont également visibles. Les sondages ne relèvent quant à eux aucune poche parodontale ni perte osseuse notable. La formule dentaire indique l’absence de 36, 45, 46, non remplacées, l’absence de 15, 25, 31, avulsées étant plus jeune pour créer de la place en vue du traitement orthodontique et celle de 28, 38 étant sans antagoniste.
Une classe 1 d’angle, une hyperdivergence faciale et une endognathie maxillaire sont diagnostiquées grâce à l’analyse céphalométrique. Sur le plan alvéolaire, une classe 2 molaire, une classe 3 canine (par la perte de 31), une infraclusie incisive ainsi qu’un encombrement maxillaire et mandibulaire sont à observer. Certains soins méritent d’être repris par perte d’étanchéité. En outre, pour des raisons purement esthétiques, le patient désire remplacer tous ses amalgames dentaires.
Discussion :
La prise en charge nécessite une approche pluridisciplinaire pour répondre au mieux à l’objectif de bio-conservation. Afin d’assurer la pérennité des soins, un enseignement aux techniques d’hygiène bucco-dentaire ainsi qu’un assainissement parodontal ont constitué la première étape du traitement.
Pour parvenir à niveler les arcades sans augmenter l’infraclusie incisive par égression des dents des secteurs postérieurs, des implants ont été placés en 36, 35, 46 avant le début du traitement orthodontique. Surmontés de couronnes provisoires transvissées, en sous occlusion, les implants ont servi d’ancrage à l’ingression des molaires mandibulaires. Dans le même temps, des mini-vis d’ancrage sont placées à l’arcade maxillaire pour favoriser à la fois l’ingression des molaires et supprimer l’endoalvéolie. Enfin, un appareil multi-attaches a permis la parallélisassions des axes dentaires, l’alignement des dents et la congruence des arcades.
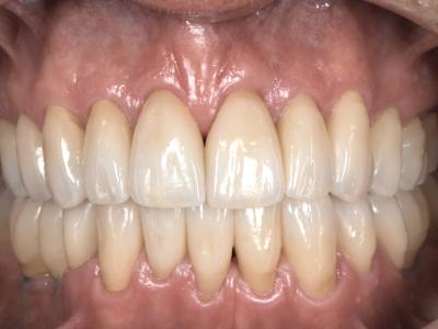
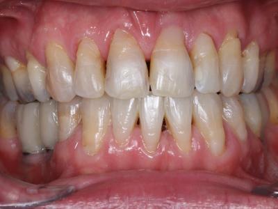
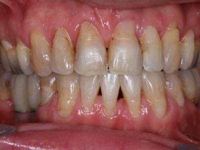
En fin de traitement pré-prothétique, une analyse globale de la nouvelle situation est réalisée pour élaborer un plan de traitement prothétique. Bien que l’occlusion obtenue soit stable et fonctionnelle, le sourire du patient reste disgracieux. La présence de trous noirs interproximaux, des anomalies de proportions, de nombreux composites de collet ainsi que quelques mylolyses restent préjudiciables au niveau esthétique.
Avant d’aller plus loin dans la réflexion esthétique, le calage postérieur est finalisé à l’aide de couronnes définitives sur les implants 36-37-46, et de composites directs sur 27-26-17-36-37-47. 38, sans utilité fonctionnelle, est avulsée afin de faciliter l’accès au nettoyage de 37.
Pour finaliser le plan de traitement, une simulation numérique du projet esthétique est réalisée, à partir d’une analyse photo et vidéo du sourire. La séquence vidéo assure une meilleure évaluation de la dynamique dento-labiale lors de la phonation. Elle précise également le sourire Duchenne du patient et donc le positionnement le plus haut de sa lèvre supérieure. Un wax-up, réalisé par le prothésiste à l’aide du projet virtuel, permet de le visualiser en bouche avec un mock-up. Après validation, les pièces partielles en céramiques collées sont élaborées. Du fait des récessions, les limites de préparation présentent des plages avec peu, voire pas d’émail. Une attention particulière est apportée au protocole de collage, effectué sous digue, avec un MR3 par mordançage, rinçage puis application séparée de primer et d’adhésif avant de coller avec un composite dual.
Conclusion :
Une prise en charge globale, fonctionnelle et esthétique, se doit d’être pluridisciplinaire, notamment dans les cas complexes. La communication et l’échange entre praticiens doit permettre de choisir une approche a minima et de définir de façon précise la chronologie des étapes de traitement.

commentaires membres
écrire un commentaire