Résumé
Description
Site d'implantation
Kit Traction de canine incluse (2 vis + 1 CT8-1 droit ou gauche)
NB : respecter le côté droit / gauche
Processus zygomatique

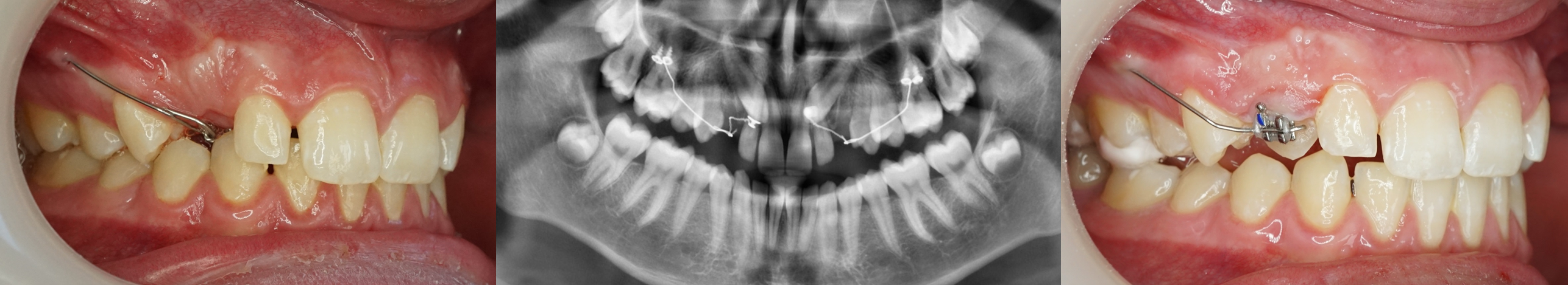
Contrôle 3D
Mécanique
Le dégagement chirurgical de la couronne de la canine incluse vient d’être réalisé, la ligature accrochée au bouton collé à sa surface émerge à son emplacement naturel d’éruption.
Le lambeau d’accès à la canine a été refermé et suturé.
Le bras du CT8 est activé vers le bas pour une canine vestibulaire, vers l’extérieur pour une canine palatine. Il est replié sur lui-même et accroché à la ligature reliée à la canine au niveau de son espace naturel d’éruption.
Les deux seules actions à réaliser par la suite seront :
1. Le raccourcissement de la ligature au fur et à mesure du déplacement de la canine.
2. Le contrôle de la direction de la traction et son réajustement éventuel lors de la même opération.

Une fois la couronne apparue, le bras du CT8 peut lui-même effectuer certaines finitions si nécessaire : complément d’égression, distalisation, correction des rotations. La seule limite est le torque.
Résultats
La canine fait éruption à son emplacement naturel. Le CT8 peut agir d’une manière totalement autonome, sans autre appareil si l'occlusion est acceptable par ailleurs.

Le CT8 peut être utilisé de façon esthétique en gardant la canine temporaire ou en complément d’une facette résine collée.

Indications d’utilisation du système CT8® pour les tractions de canines incluses :
• Interception en denture mixte.
• Inclusion sévère.
• Canine incluse isolée dans un environnement de normocclusie.
• Demandes esthétiques et patients adultes.
Références
Chillès D, Chillès J-G. Un dispositif à ancrage squelettique pour la traction et la mise en place des canines incluses. Rev Orthop Dento-Faciale 2009;43:67−86.
Chillès D. Chillès J.-G. Le traitement simplifié des canines incluses par microvis enfouies. L’Orthodontiste-Paroles d’Experts 2019 ;8-2:15-31.

commentaires membres
écrire un commentaire