Résumé
Description
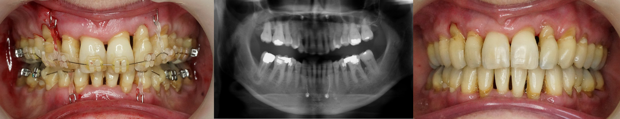
Site d'implantation
Kit Ingression incisive (2 vis + 2 CTO).
L'implantation se fait de chaque côté de la symphyse mandibulaire.

Contrôle 1D : le mouvement s’effectue en direction de la vis.
Mécanique
Pliage d’un crochet pour fixer une ligature élastique reliée à l’appareil orthodontique. Elle devra être remplacée périodiquement.
Le fil devra parfois être raccourci au cours de l'ingression.

Résultats
Le mouvement s’effectue en direction des vis.
Les incisives +/- canines sont ingressées.
Une tendance à la vestibulo-version coronaire existe naturellement, elle devra être contrôlée.


commentaires membres
écrire un commentaire