Résumé
Description
Introduction
L’application d’une force sur une dent change son équilibre mécanique. Des phénomènes piezo-électriques osseux et des constrictions vasculaires et nerveuses desmodontales mènent par une cascade biologique à une différenciation ostéoblastique du côté en tension et une différenciation ostéoclastique du côté en compression. Ces mécanismes complexes vont permettre le déplacement de la dent et son repositionnement dans une zone d’équilibre4.
De nombreux facteurs vont influencer ce déplacement dentaire et notamment sa vitesse. Ce sont des facteurs osseux (âge du patient, densité osseuse, facteurs nutritionnels, endocriniens, médicamenteux), dentaires (taille et type de dent, occlusion, fonction) et orthodontiques (type de mouvement orthodontique, paramètres de la force appliquée).
L’optimisation des facteurs osseux, naturellement plus difficiles à modifier, est un défi déjà ancien de l’orthodontie. Quatre voies d’actions ont été étudiées :
- Médiateurs cellulaires généraux : vitamine D, hormone parathyroïdienne, thérapie génique RANKL, cycles hormonaux…
- Médiateurs cellulaires locaux : prostaglandines, PRP et PRF, ostéocalcine, relaxine, BMP2 recombinant, gel de methylcellulose…
- Stimuli physiques : vibrations, courants électriques, champs électromagnétiques, ultra-sons, laser, photo-biomodulation…
- Chirurgie : corticotomies, distraction alvéolodentaire, distraction desmodontale, alveocentesis, chirurgie orthognatique première…
Parmi ces méthodes, seules deux ont pu démontrer leur efficacité pour accélérer le déplacement dentaire : les corticotomies et la thérapie laser de basse intensité(1,3,5).
Les corticotomies sont actuellement de plus en plus utilisées. Différentes techniques ont été proposées, mais malheureusement aucune étude n’a pour le moment comparé leurs résultats. Nous proposons ici de présenter nos réflexions et résultats après 10 ans d’expérience clinique.
Principes biologiques des corticotomies
Les premières corticotomies ont été présentées par Köle en 1951. Il réalisait des ostéotomies interdentaires et supra-apicales complètes, et observait que le déplacement dentaire était accéléré. Il expliquait cela par la théorie des « blocs osseux » : les dents pouvaient se déplacer plus facilement avec l’os des blocs réalisés. Generson proposa une variante en 1978 avec seulement des ostéotomies interdentaires : le déplacement dentaire restait accéléré.
Il fallut attendre 1989 et les études de Frost2 pour avoir l’explication des principes biologiques de cet accélération du déplacement dentaire. Il étudia les impacts des lésions chirurgicales sur le métabolisme osseux et découvrit le Phénomène d’Accélération Régional (RAP, Regional Acceleratory Phenomenon) : tout traumatisme osseux chirurgical induit une augmentation des activités cataboliques et anaboliques et une augmentation du remodelage osseux jusqu’à un facteur de 5 au niveau de l’os spongieux, ainsi qu’une diminution de la densité osseuse. Il s’agit d’une ostéopénie postopératoire à volume osseux constant. Ce phénomène est limité dans l’espace aux environs immédiats du traumatisme osseux. Il est aussi limité dans le temps avec un retour à la normal en 11 semaines, mais peut être prolongé jusqu’à environ 6 mois au niveau dento-alvéolaire par stimulation orthodontique (figure 1).
Les études successives des frères Wilcko(11), puis de Sebaoun(9) ont permis de confirmer cette hypothèse : l’accélération du déplacement dentaire à la suite de corticotomies est bien biologique et non mécanique.
Techniques chirurgicales
Les premiers à utiliser cette théorie du RAP pour le déplacement dentaire ont été les frères Wilcko(7,12). Il réalisaient des lambeaux muco-périostés étendus en vestibulaire et en palatin / lingual des arcades, puis scarifiaient l’os à la fraise boules entre et au-delà des racines. Ils terminaient par un apport de xénogreffe particulée généralisée avant fermeture des lambeaux. Ces interventions étaient très lourdes et les suites opératoires non négligeables. Les corticotomies étaient aussi généralisées sans adaptation aux mouvements dentaires à réaliser.
Afin d’être moins traumatisant pour le parodonte, Sebaoun(10) proposa alors une technique mini-invasive. Il réalise des incisions muco-périostées entre les racines des dents à accélérer et y insert un piezotome afin de réaliser les corticotomies. Elles sont alors réalisées quasiment « à l’aveugle ». Une tunnelisation sous-périostée entre les incisions permet localement un apport de greffe osseuse quand cela est nécessaire.
D’autres auteurs ont aussi proposé des techniques mini-invasives, comme Charrier avec une « micro-saw » insérée directement à travers la gencive et l’os entre les racines, ou Park(8) de la même manière avec une lame Paragon renforcée insérée au maillet.
Après avoir testé plusieurs de ces techniques, nous proposerons en fin d’article la variante qui nous parait avoir les meilleurs résultats dentaires et parodontaux avec le moins de suites opératoires.
Pourquoi réaliser des corticotomies ?
Aller plus vite
La première indication pour laquelle ont été réalisées des corticotomies est cette de l’accélération du déplacement dentaire. Les corticotomies sont alors utilisées pour diminuer la durée des traitement orthodontiques. Bien qu’il s’agisse d’une doléance générale de certains patients, nous pouvons aussi le proposer pour certains types de déplacements dentaires localisés qui rallongent à eux seuls la durée du traitement, ou la durée d’une phase délicate du traitement.
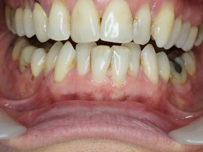
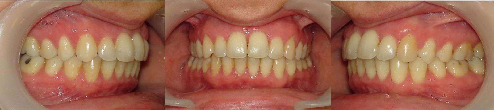
Exemples : remise en occlusion d’une dent en occlusion inversée, traction d’une canine incluse (figure 2), ingression d’un bloc incisivo-canin dans le cadre d’une supraclusie, distalisation (figure 3) ou mésialisation prémolo-molaire (figure 4)…
Les corticotomies sous lambeau accélèrent alors les déplacements dentaires d’un facteur de 3 à la mandibule et de 4 au maxillaire.
Ces mécaniques complexes peuvent aussi être facilités par l’utilisation d’ancrages osseux. Mais seules les micro-vis enfouies du système CT8® sont compatibles avec des corticotomies sur le même site (figures 2, 3 et 4). Il est placé en os basal à travers une simple incision ne coupant pas la vascularisation du lambeau des corticotomies. Au l’opposé, des mini-vis transgingivales ne pourraient pas être insérées dans un os alvéolaire en phase de RAP, et le lambeau de mise en place de plaques d’ancrages serait incompatible avec celui des corticotomies.
Moduler l’ancrage
Les corticotomies ne vont pas seulement accélérer mais aussi faciliter le déplacement dentaire. Lorsqu’elles sont utilisées sectoriellement, elles permettent de diminuer la valeur d’ancrage de certaines dents et ainsi de créer des différentiels d’ancrage pour simplifier certaines mécaniques orthodontiques (figure 5).
Aller plus loin
L’apport de greffe osseuse possible concomitamment aux corticotomies permet d’augmenter l’amplitude des déplacements dentaires. Les frères Wilcko ont pu démontrer que les dents se déplacent après corticotomies dans une matrice collagénique malléable. Cette matrice osseuse déminéralisée est transportée par la surface des racines (≪ bone matrix transportation≫) et se reminéralise avec le temps. Néanmoins, cette reminéralisation n’est que partielle chez l’adulte. Elle est alors compensée par les greffes osseuse particulées.
Cette greffe osseuse, la plupart du temps vestibulaire permet aussi d’épaissir la corticale vestibulaire, et ainsi que changer le biotype parodontal.
Ce sont les corticotomies et le déplacement dentaire qui rendent cette greffe stable dans le temps :
- Les corticotomies sousjacentes permettent un apport sanguin et cellulaire dans la greffe, en post-opératoire immédiat mais aussi à plus long terme grâce au Phénomène d’Accélération Régional.
- Le déplacement des dents en direction de la greffe et dans la greffe permet une transformation de cette dernière en os alvéolaire grâce aux mécanismes cellulaires du déplacement dentaire.
- La phase d’élévation du lambeau au niveau susapical permet une désinsertion musculaire et donc une diminution des contraintes mécaniques centripètes s’exerçant sur la greffe et sur le parodonte.
Les corticotomies avec greffe osseuse peuvent ainsi être indiquées dans des cas où une expansion est nécessaire, de grande amplitude et/ou en présence d’un parodonte fragile de type III ou IV avec des fenestrations osseuses et/ou des récessions gingivales déjà présentes(6) (figure 6).
Quelle technique chirurgicale choisir ?
Nous avons pu découvrir plusieurs inconvénients dans nos essais des techniques publiées :
- Technique Wilcko : les corticotomies sont généralisées et peu conservatrices du parodonte
- Technique mini-invasive selon Sebaoun ou selon Charrier : le travail osseux à l’aveugle en inter-radiculaire est une source potentielle de lésion-radiculaires per-opératoires, risque d’autant plus important que l’encombrement est sévère… et donc que des corticotomies sont indiquées. Le travail de l’insert piezo selon Sebaoun au niveau osseux provoque aussi un échauffement important car l’irrigation à du mal à passer à travers la gencive. Il s’en suit des suites opératoires douloureuses et des cicatrices gingivales verticales (figure 7).
- Technique miniinvasive selon Park : le travail au maillet est assez inconfortable pour les patients.
En dehors des possibilités de greffe très réduites dans les techniques mini-invasives, nous avons aussi pu noter une efficacité réduite de ces dernières dans l’accélération du déplacement dentaire par rapport aux techniques sous lambeau.
Nos différents essais et les observations en découlant pendant 10 ans de pratique des corticotomies nous font maintenant utiliser cette technique suivante.
Principes :
- Les corticotomies seront adaptées en étendue au cas par cas au déplacement dentaire à réaliser. Une bonne communication orthodontiste / chirurgien oral est donc primordiale
- Un CBCT préliminaire permet d’observer la quantité et la qualité de l’os présent dans la zone où la ou les dents seront amenées à se déplacer : l’indication ou non d’une greffe est alors décidée
- Les corticotomies sont réalisées sous lambeau pour une meilleure efficacité et pour éviter tout risque de lésion radiculaire peropératoire
- Le lambeau réalisé préserve la gencive marginale et des papilles
- Les corticotomies sont limitées aux secteurs vestibulaires
- Les greffes utilisées sont des allogreffes, mélangées à du PRF (Plasma Riche en Fibrine, obtenu avec prélèvement sanguin et centrifugation) afin de créer un apport de cellules et de facteurs de croissance supplémentaire
Protocole opératoire (figure 8) :
- Pose des attaches orthodontiques sans arc
- Prémédication : antibioprophylaxie et antalgique de niveau I
- Désinfection buccale et anesthésie locale
- Incision et élévation d’un lambeau atraumatique pour le parodonte superficiel et l’attache épithéliale :
- En préservant les papilles interdentaires et une collerette de gencive marginale
- En réalisant des incisions nettes et sans lacération des tissus
- En décollant et manipulant le lambeau de la manière la plus atraumatique possible,
- En terminant en partie apicale le lambeau en épaisseur partielle pour permettre un repositionnement passif, même en cas de greffe importante
- En prolongeant le lambeau en distal pour éviter les décharges verticales
- Les brides sont désinsérées, un approfondissement vestibulaire avec affaiblissement musculaire peut être réalisé si il est indiqué
- Corticotomies par scarification osseuse interdentaire à l’insert piezo, limitée à la corticale vestibulaire
- Apport de greffe si indiquée : allogreffe (Biobank®) mélangée à la partie liquide du PRF, et recouverte avec une membrane réalisée avec le PRF.
- Sutures doubles :
- Sutures de sustentation pour repositionner le lambeau sans tension
- Sutures de microchirurgie pour favoriser la revascularisation et limiter les cicatrices
- Mise en charge orthodontique immédiate, avec des forces légères
- Réactivations orthodontiques mensuelles
- Maximum d’accélération du déplacement dentaire vers 2 mois, fin des bénéfices à 6 mois
Conclusion
Les corticotomies ont parfaitement pu s’intégrer dans notre pratique de routine, et nous permettent de repousser les possibilités thérapeutiques de l’orthodontie, tout en renforçant son caractère médical.
Paradoxalement, la préservation ou le renforcement du parodonte avec corticotomies et apport de greffe est devenu notre indication principale de cette technique, et l’accélération du déplacement dentaire est devenu une indication secondaire, même si cette dernière est toujours apprécié des patients.
Après comparaison clinique, notre technique sous-lambeau de préservation parodontale nous parait plus efficace, plus universelle et moins traumatisante que les techniques mini-invasives. Les suites opératoires nous semblent aussi plus faibles.
Bibliographie
- Fleming PS. Accelerating orthodontic tooth movement using surgical and non-surgical approaches. Evid Based Dent. 2014 ;15(4) :114-5
- Frost H.M. The biology of fracture healing. An overview for clinician. Part 1, Clin Orthop Res; 1989, 248:294-309.
- Gkantidis N, Mistakidis I, Kouskoura T, Pandis N. Effectiveness of non-conventional methods for accelerated orthodontic tooth movement : a systematic review ans meta-analysis. J Dent. 2014 ;42(10) :1300-19
- Le Gall M, Sastre J. The fundamentals of tooth movement. Int Orthod. 2010 ;8(2) :105-23
- Long H, Pyakurel U, Wang Y, Liao Y, Zhou Y, Lai W. Interventions for accelerating orthodontic tooth movement : a systematic review. Angle Orthod. 2013 ;83(1) :164-71
- Maynard JG, Wilson RD. Diagnosis and management of mucogingivals problems in children. Dent Clin North AM. 1980; 24, 683-703
- Murphy KG, Wilcko MT, Wilcko WM, Ferguson DJ. Periodontal accelerated osteogenic orthodontics : a description of the surgical technique. J Oral Maxillofac Surg 2009 ; 67(10) :2160-6
- Park YG. Corticision to Accelerate Tooth Movement. PCSO Central Region Meeting, February 12, 2010.
- Sebaoun JD, Kantarci A, Turner JW, Carvalho RS, Van Dyke TE, Ferguson DJ. Modeling of trabecular bone and lamina dura following selective alveolar decortication in rats. J Periodontol 2008 ;79(9) :1679-88
- Sebaoun JD, Surmenian J, Diebart S. Traitements orthodontiques accélérés par piézocision : une alternative mini-invasive aux corticotomies alvéolaires. Orthod Fr 2011 ; 82 :311-319.
- Wilcko MT, Wilcko WM, Bissada NF. An evidence-based analysis of periodontaly accelerated orthodontic and osteogenic techniques; A synthesis of scientific perspectives. Semin. Othod.2008, 14:305-316.
- Wilcko WM, Wilcko MT, Bouquot JE, Ferguson DJ. Rapid Orthodontics with alveolar reshaping : two case reports of decrowding. Int J Periodontics Restorative Dent 2001,21 :9-19.

commentaires membres
écrire un commentaireLa corticotomie
Bravo docteur jean Gabriel pour cet article qui mérite toutes mes félicitations.
La corticotomie ou la section de la corticale alvéolaire est un geste chirurgicale qui apporte un plus à l’orthodontie .
Veritable accélérateur du traitement orthodontique il permet de raccourcir la durée du traitement et aussi prévenir des effets néfastes de l’orthodontie : résorption radiculaire ( dent longue ) , fenestration lors des expansions maxillaires ( rajoutant une greffe osseuse ), tissu gingivale fin et festoné ( prévenir des récessions lors de l’acte orthodontique) .
Le guide chirurgicale conçu par CFAO après un cône beam est réalisé dans l’objectif de faciliter le geste chirurgicale et améliorer la précision lors de section de la corticale afin d’éviter les racines mais je vois dans cette procédure qu’il y aura un risque de nécrose des tissus osseux sectionnés puis fibrose a cause du manque d’irrigation lors de l’acte chirurgicale aussi du même lors de la piezocision à travers la muqueuse gingivale.
Un lambeau d’épaisseur partiel mais avec préservation des papilles ( Docteur zucchelli ) est un geste mucco-gingivale parodontalement préventif contre les récessions post-opératoires .
Le sticky bone prf sera mieux a mon avis avec du bêta tcp qui se résorbe très vite et en plus plus de sécurité contre une contamination croisée susceptible à l’allogreffe ou au bio oss .
Il n’est pas encore établi scientifiquement que le PRF joue un rôle dans cicatrisation osseuse mais utile en post extraction et il est un bon anti-douleur .
Ce qui me fascine dans le sticky bone c’est la bonne gestion lors sa pose dans le site receveur et il joue un bon rôle pour entretenir le caillot sanguin nécessaire à une bonne cicatrisation osseuse .
La corticotomie est un sujet d’actualité en orthodontie qui nécessite beaucoup d’études randomisées et contrôlées et des meta analyses afin qu’il soit un geste habituel dans nos plan de traitement orthodontique .
Merci Docteur jean Gabriel d’avoir partagé avec nous ce sujet d’actualité et j’espère qu’il ouvrira un grand débat parmi nos confrères .