Résumé
Description
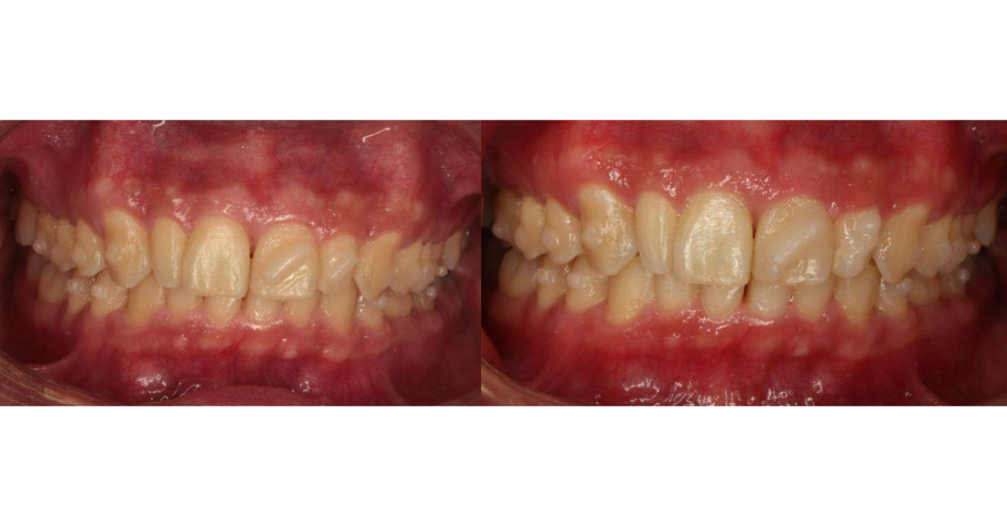
Exemple :
Les racines de 21 et 22 étaient en contact, mais une mobilisation mésio-distale des incisives n’est pas un mouvement prédictible en traitement par aligneurs.
Une première série de gouttières a été réalisée en utilisant des attachements rectangulaires simples.
Six semaines plus tard, l’examen radiologique a mis en évidence l’échec de cette mécanique.
Une autre forme d’attache a donc été mise à place, associée à un ralentissement de l’amplitude de mouvement pour chaque set-up.
Cette nouvelle mécanique s’est montrée efficace à la réévaluation à 2 mois.

commentaires membres
écrire un commentaire