Résumé
Description
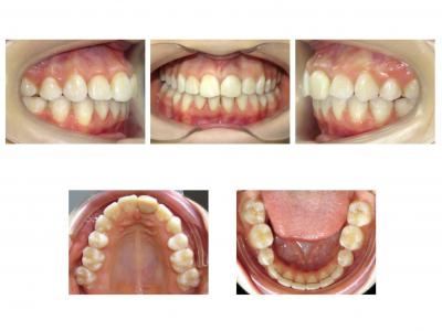
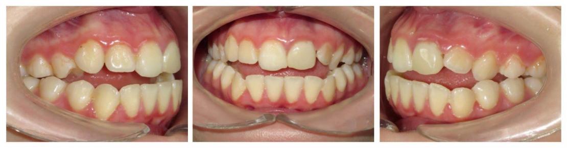
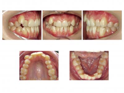
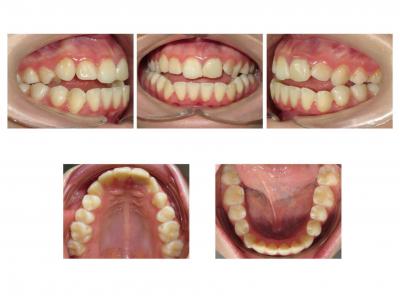
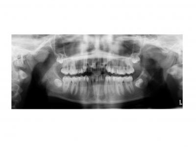
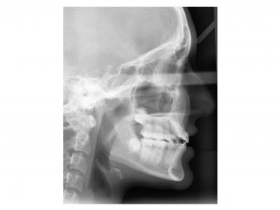
Voici les deux patientes traitées
Souvent des ortho disent qu'ils n'extraient jamais. Certains font même apparaître sur leur site: cabinet proposant des traitements sans extraction. Etonnant. Nous sommes de mauvais orthodontistes, si on extrait?
Dans les cas de béance, attention il ne faut pas extraire sinon vous réduisez le volume destiné à la langue et vous vous exposez lors d'une fermeture à des résorptions et après fermeture à des réouvertures d'espace.
Dans les cas de profil labial concave (lèvres peu soutenues), attention il ne faut pas extraire sinon vous allez creuser le profil, détruire le visage.
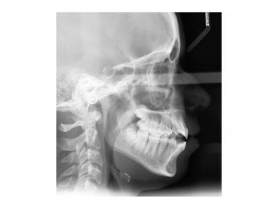
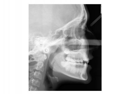
Ici, dans les deux cas, les deuxièmes prémolaires ont été extraites et les traitements ont duré 18 mois.
Dans le premier cas, la béance s'est fermée spontanément (pas prévu au départ) sans rééducation, sans appareil de contrainte linguale, ni élastique. Il semblerait que le gain de place a permis aux incisives de se redresser spontanément et donc de fermer la béance. La fermeture de la béance, la normalisation de l'environnement anatomique a permis à la langue de se mettre à travailler correctement. Pour le sens transversal, la correction a été aussi spontanée. Juste une minivis dans le secteur 1 a été placée pour recentrer mon milieu (ancrage maximal recherché au départ). Les finitions auraient pu être meilleures. Elle finit avec une légère classe II (on va dire qu’elle est surcorrigée :)). Le traitement a terminé plus tôt que prévu (24 mois annoncé), car problèmes de santé.
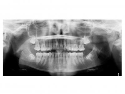
Dans le deuxième cas, le désencombrement a fermé les espaces en 6 mois. Les incisives ont été surtorquée pour avoir un meilleur soutien labial. Le traitement qui avait bien débuté, a été difficile à finir, car les anatomies coronaires et radiculaires étaient perturbées.
Si on n'avait pas extrait dans le premier cas, cela imposait une ouverture de l'espace de la 24 et donc une avancée des incisives supérieures et donc une aggravation de la béance. Dans le deuxième, on sortait les racines de l'os alvéolaires (racines déjà apparentes au départ). Même une expansion associée à du stripping et une distalisation des secteurs latéraux n’auraient pas permis de préserver ce parodonte fin.
Questions : Pourquoi proposer des traitements dont on n'est pas certain de l'issue? La langue doit-elle toujours être corrigée en premier? Une disjonction maxillaire (qui ouvre le sens vertical) permet-elle de gagner de la place à la mandibule?
Aujourd'hui nous pouvons limiter les extractions grâce notamment aux minivis mais elles resteront à mon avis toujours d'actualité. Quand on doute vraiment c'est qu'il faut extraire, car extraire ne fait jamais plaisir ?
(Citation d’anciens orthodontistes de qualité à la retraite)
Les solutions les plus simples sont parfois les meilleures.
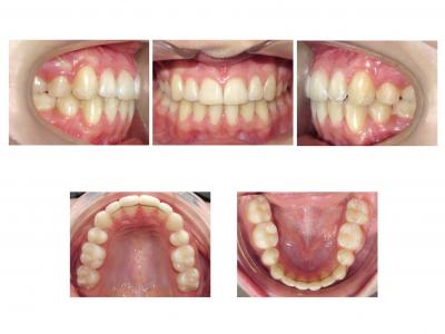
NB : totalement stable à 1 an

commentaires membres
écrire un commentaire